コラム掲示板です。
植毛後にくせ毛が生じる理由

~
こんにちは,
「風の吹く日にも整形外科」
パク·スホです。
植毛後に移植毛がくるくるくせ毛に育つという方がいます。
なぜでしょうか?
まだ正確な原因はよくわかりません。
Nelson BR, Griffiths CEM, Stough DB, et al. Curly lusterless hair: anatomic surface changes on transplanted hair shafts. J Derm Surg Oncol. 1993;19:1129-1130.
いろいろな仮説がありますが、その中で私が研究して発表した内容をお知らせします。
ポルトガルのリスボンで開かれた世界植毛学会学術大会で、このテーマで小さな賞も受賞しました。
~
植毛後に「移植した毛髪には染色ができない」という患者たちは、移植毛が縮む時が多かったです。
染色ができないなら、キューティクル層に変化があると思って目の扉を探してみました。
(キューティクル層は髪の一番外側にうろこのように覆われている層です。)
植毛後のキューティクル変化に関する論文がありました。
Sadick NS, Hashimoto K, Teichberg S. Acquired posttransplantation hair kinking. Dermatol Surg. 1995;261-262.
Nelson BR, Griffiths CEM, Stough DB, et al. Curly lusterless hair: anatomic surface changes on transplanted hair shafts. J Derm Surg Oncol. 1993;19:1129-1130.
植毛後、くせ毛のある移植毛を電子顕微鏡で観察してみると、
くせ毛で育ったこの植毛のキューティクルは、厚さや形が不規則だという内容でした。
しかし、その原因は分からないとし、追加的な研究が必要だという言葉で終わりました。
それで髪の毛ではなく、株を顕微鏡で観察してみることにしました。
~
植毛後に密度が低すぎて、その部位を完全に無くしたいという方がいます。
そういう時は、既に移植した部位の皮膚を額縮小術で除去しながら額の高さを減らします。
ちょうどそのような方がいらっしゃいました、
移植した部位にまばらに生えている毛髪の中から、くせがひどい毛髪を選んで頭皮組織を顕微鏡で観察してみました。

毛剤林整形外科に一緒に勤務していたソン院長のお父様が長い間、皮膚病理をしてこられたため
私たちがよく知らない病理を一緒に研究することができ、 その結果を発表と論文で発表することができました。
教授の説明を聞きながら、基本的な毛髪病理についてもたくさん学びましたね。
この文を借りてもう一度ソン院長とソン教授に感謝の言葉を伝えます!
以下の写真は、世界植毛学会フォーラム誌に掲載された論文の抄録です。
~
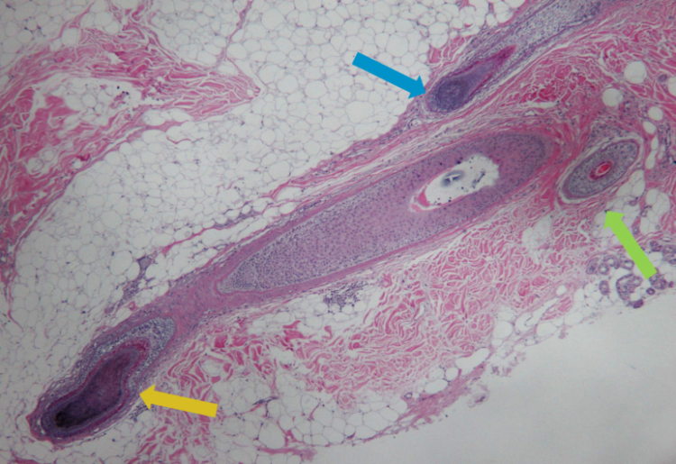
くせ毛がひどい最初の毛髪を見てみましょう。
株の下に白く傷跡が見え(黄色い丸)、顕微鏡で見ると赤い傷跡組織に株が押されているのが見えます。 黄色い矢印(きいろい矢印)
株を拡大してみると、
傷跡組織に株が潰れているのが見えます。
白い星印がキューティクル層ですが、株の下のレベルでは株の内根の家と結びついています。
さらに上のレベルに行くと、株と毛髪が分離され、私たちがよく言う毛髪のキューティクルになります。
もともと株は下図のように地方組織に囲まれており、
形状·各層の厚みが均一です。
正常株
ところが、傷跡組織が株を押して形を変形させると、キューティクル層の形と厚さも変形するのです。
次の写真をもう一つ見てみましょう?
伸びたばかりの産毛(青い矢印)、くせ毛のない髪(緑の矢印)、くせ毛のあるこの植毛(黄色い矢印)です。
くせ毛の株は曲がっていて、くせ毛のない株は丸く形を保っています。
もう少し大きく拡大してみると、
形の違いがはっきりしています。
最後にもう一つだけ見ましょうか?
くせ毛がひどい毛髪です。
肉眼でも株の周りに白く傷跡が見えます。
顕微鏡上では株がひどく変形しているのが見えます。
植毛を受けてから数年が経ちますが、まだ炎症細胞も見えます。 (黄色い丸)
移植された髪の中でもくせ毛がない髪があるので観察してみました。
どうですか? 形の変化がなく、上から見た正常な毛髪の形を保っていますよね?
株の下に赤い傷跡の組織がありますが、幸い株と少し離れていたので、株を変形させることはありませんでした。
こうやって^^
~
それで結論をこのように出しました。
植毛後にくせが生じる理由の一つは、キューティクル層の変形のためだ。
キューティクル層の変形は株が変形して発生する。
株の変形は株周囲の傷跡組織のために発生する。
その他の仮説としては
移植する過程で株が「J」の形に曲がっているからだろう。
移植された株が傷跡化した皮膚を突き抜ける過程で抵抗を受けて曲がるだろう。
などがあります。
いずれも可能性はあるが、
少なくとも今回の研究では
株周辺の傷跡組織によって変形されたキューティクル層が、植毛後のくせ毛の原因になることがあることがわかりました~
植毛後に発生したくせ毛は、通常2~3年が経つとほとんど伸びますが、
傷跡組織が再び柔らかくなる期間と似ています。
~
植毛後のくせ毛の発生を減らすためには、 患者ごとの個人差があると思いますが、
傷跡を最小限にする経験と実力が必要だと思います。
初めて植毛を始めた時より、時間が経つほどくせ毛で不便に感じる方が減るのがその理由のようです^^
~
「風の吹く日にも整形外科」
パク·スホでした~
植毛フォト&レビュー
ショックロスをよく耐えて、もうよく育っています。院長に感謝し、非常に満足しています。
1年目を過ぎて、14ヶ月まで体験談を残すことになるとは思いませんでした。それでも頭頂部の後記が少ないから.. 僕も時々書いてみたいと思います初めて薄毛を感じたのは20代前半くらいでしたが、その時は単純に髪が薄くなる程度なので、大したことはないと思いました。 しかし、時間が経つにつれて頭皮がだんだん透けて見え始めて···펌 パーマをかけて無理に豊かに見えるようにもしてみましたが、 좋은 좋은 방 방법이 아니었던 것 같습니다髪の毛の力が弱い状態なのでパーマ液もきつかったのか、パーマをかけるほど頭皮がもっと見える感じがしました 後には全部下ろしてそのままストレートで 通うことになりましたねその頃、植毛成功した方々のレビューを見て勇気を出して相談も受けました。 DANA整形外科を行って相談だけ受けて帰りましたが、個人的な事情で後でするつもりでした。 後に3年ぐらい経ってクリニックにまた行ったら 院長が前より薄毛がもっと来たと言っていました。 やっぱりあの時やるべきだったのか後悔の思いが.. けれども、もう遅い分、迷わずすぐ手術の日をもらいました>イワシの毛髪移植+大量脱毛だったけど手術を受けた理由?私は頭頂部と上髪側薄毛がひどいケースでした。頭頂部毛髪移植は生着率が低く手術難易度が高いと聞いて心配が大きかったが、DANA整形外科はそれでも自信を持って受けてくれて幸いでした。非切開方式で2500毛包の見積もりが出ており、母数では5,000毛以上のものなので大量移植に該当しました 聞くところによると、大量移植であるほど一人が全部するよりもチーム手術で役割分担がうまくいった方が結果が良いそうです 実際に何時間も続く大量移植なので体力と集中力の管理が重要だと聞きましたが、こういうことではDANA整形外科が一番専門的だと思って信じて決めました。 >経過別変化~1ヶ月目:ショックロス最高潮。 もともとない髪なので衝撃は少なかったのですが、赤みとかさぶたが残っていて外出時に帽子必須でした。 それでもクリニックで無料でシャンプー·消毒管理をしてくださったので、回復は早い方でした。3~4ヶ月目: ついに変化を感じた時期。 微細に産毛が生えてきて、4ヶ月くらいから本格的に新しい髪が伸び始めました。 この時からは毎日鏡を見つけましたね7~8ヶ月目:全体的に髪の毛が増えたのが目に見えました。 まだ完全な密度ではありませんでしたが、少なくとも頭皮が光っていた時代は過ぎたと感じました。パーマをかけ直しても大丈夫だとおっしゃいましたが、保守的にもう少し待ちました。10~11ヶ月目:照明の下でも頭皮が透けないほど自然になりました。 明るいところでも、以前のように気になることはなく、思った以上に豊かになりました。>14ヶ月目現在1年が過ぎたので、こうやって ずっと安定した状態で行くと思います髪の毛の太さもだんだん元の髪と似てきていますし、分け目の向きも自由にしています今は明るい照明の下にいても頭皮が見えないので、帽子なしで楽に歩いています何より満足なのは結果だけでなく過程全体が信じられたという点だと思います最初の相談の時も無理に勧めず、自分の状況に合った方向で説明してくださり、大量移植なので難しいケースだったにもかかわらず、自信を見せてくださり、信じて任せることができました。最近は従兄も同じクリニックで手術を受けましたが、私と同じように無難な速度で育っているようで良かったです。長い待ちの末に得た満足が本当に大きいですね。頭頂部毛髪移植や分け目側薄毛でお悩みの方、 特に大量移植が必要な方なら、チーム手術が可能なクリニックをぜひ考慮してみてください。私も同じ過程を経てこのように結果を見ることになりましたが、今お悩みの方もきっと良い結果が訪れると信じています。皆さんが望むだけ多くの毛を剃ってください!
手術12ヶ月経過体験談です。 以前の体験談をご覧になっていない方もいらっしゃると思いますので、簡単に全体の体験談を記録してみます。 40代半ばになると髪の毛が細くなり、たくさん抜けるようになり、M字おでこが急速に深まるようで、植毛を調べ、近くの知人の推薦でモウォン整形外科で手術を行いました。 チョン·ジェホン院長と十分な時間をかけて相談し、院長が提示してくださったデザインで1800毛包程度の鼻切開植毛を行いました。 MO.1成形外科医院は院長も相談から丁寧で、システムが体系的で不便なところがありませんでした。 手術は痛くなかったし、大きな痛みもありませんでした。 少しチクッとする程度だったと記憶しています。 ただ、寝る時に私が寝返りを打ちながら頭を怪我するか、それが一番気になったようです.. 途中途中、クリニックに状態を共有し、10日目くらいにすでにデザインがある程度定着しているのが見えて、とても不思議でした。 4ヶ月くらいになると、ショックロスが過ぎて早く髪の毛が生え始めました。 私は運が良かったのか、ショックロスが目立つほど大きく来なかったので、大きな心配もなくその時期を乗り越えました。 この時からはヘアラインに髪の毛が定着する速度が目に見えて速いと思いました。 初めて会う人は最初からそれ以前の自分の姿は知らないし、久しぶりに会う人たちも元々頭がこうだったっけ?と首をかしげたりもしました。 私からも手術前の自分の姿が思い出せないほど、M字おでこがほとんどなくなりました。 それで4~7ヶ月まではもっと早く時間が過ぎたようです。 毎日鏡を見ながら久しぶりに本当に楽しいという感情も感じました。 一番実感した瞬間は、風が強い日でも髪が乱れないんですよ。 誰かにとっては何でもないかもしれませんが、私にとってはとても大きな変化でした。 周りでも手術して本当によかったとみんな祝ってくれました。 そして7~12ヶ月までは現状維持のために生活習慣を改善しようともっと努力しました。 10ヶ月からは髪がきつくヘアラインを満たし、私の顔型に合わせてチョン·ジェホン院長がデザインしてくださった通り、髪が満たされ、7ヶ月よりも自然に私の顔とよく調和することを感じることができました。 印象がもっと明るくて楽になったという話を一番多く聞きました。私の一生の施術や美容の方には気を使わなかったし、そういうところにお金を使うことに対する懐疑もあったのですが、そんな私の考えを毛髪移植手術がすべて変えてしまいました。 単純に美容目的からもっと進んで心と人生の安定まで可能にしたと思います. そしてそのためには何よりもどんなクリニックでどんな先生に手術を受けるかが一番重要だと思います. 1年という長い手術期間の間、安定的に結果を待つことができたのは 事前相談から手術、術後の管理まできめ細かくケアしてくださったMO.1成形外科医院、チョン·ジェホン院長とスタッフの方々のおかげです。 自分の体と心を任せる所なので、慎重に選択しなければなりません。 一度生きる人生の悩みばかりして時間を無駄にせず、専門病院で相談を受けてみて、植毛、手術を考慮してみてください。 1年の所感を盛ったら文が長くなりましたね。 皆さん、少しでもお役に立てば幸いです。 ありがとうございます。
今回移植を受けてから3ヶ月目になったので経過報告を書きに来ました最初から今まで一貫性があるように管理しようと努力していたところショックロスがやってきて、髪が少しずつ抜けてやっと少し成長している状況なんですが 実際にまた生えてくる髪を見るともう心がちょっと楽になるようですショックロスが終わって これからは 髪の毛が よく 伸びると 言ってくれたから 院長のお言葉を信じて、以前と同じようにケアしながら豊かに育ててみます
8ヵ月目··· 本当に今は鏡を見るたびに感嘆が自然に出ます。一ヶ月前まではヘアライン部分の髪の毛が少しごつい感じがありましたが、一ヶ月で完全に変わりました。 はるかに柔らかくなり、自然になりました。院長が手術する時、前の方は手術した感じがしてはいけないから薄くて柔らかい髪だけ選んで植えると言いましたが、本当でした。料理を見ても、調理を見ても移植した感じがしません。だんだん手術したという事実さえ忘れていたが、8ヶ月経過を見に来いと連絡が来て、クリニックに行ったら、ようやく手術をしたということが改めて実感できました。 久しぶりに院長にお会いできて本当に嬉しくもあり、とても感謝もしました。 院長が経過がとても良いと言って、手術がうまくいったと私の肩を叩きながらお祝いすると言ってくださったので、とても感激しました。 私がやってみたら、どうして高くてもThe Nobleline Center for Alopecia Careと言うのか本当に確実に分かりました。 The Nobleline Center for Alopecia Careリストに入れたならぜひ行ってみて、入れていないなら必ず入れてください! 必ず!
切開で手術すると傷跡ができるというので、私は非切開で受けましたjp整形外科で手術をして、2週間になりました院長がデザインする時すごく気を使ってくださってとても自然によくできたと思います密度も僕が思ったほど 出てくれた気がしてすごくいいですねバレバレだと思ったけど、 思ったより手術した感じもしないしm字もすっかり消えて自然にうまくいったようですが、どうですか?2週目ならもっと見守らなければなりませんが、2週にこの程度ならうまくいったんですよね?
植毛して 8月が過ぎました~4月目は髪の毛が上がり始める時期なので、少しずつ変化を感じたら, 今は確かに髪の量と密度で大きな差が見えて 本当に満足しています今は新しく伸びた髪の毛ももっと太くなって, 自然に定着しました^^ 今になって見ると待つことが全然惜しくないですね. ヘアラインも安定的に定着して, 頭頂部も全体的に均一に上がってきて鏡を見るたびに 満足感が半端じゃありません~植毛後の経過は結局、地道な管理と忍耐が重要だと思います。. そして何より自然なラインと密度のおかげで周りで植毛したという事実に気づく人がほとんどいないほどです。.昔は M定規と頭頂部で気になったんですが, 今はそのような心配なしにスタイリングも自由にできます. これからは髪の毛がよく伸びて, 健康に維持されるように地道に管理することが残った目標ですね. 今までの結果だけでもとても満足ですし, 植毛をお悩みの方へ 自信を持って植毛をおすすめできると思います。^^一生懸命歩き回って某国でやったんですが, 本当にいい選択だったし, 見に行くたびに親切に経過を見てくださるキム·デウ院長にもう一度感謝いたします~ 薄毛でお悩みの方, 少しだけ勇気を出してください! 待った末に、こうして満足な結果を 迎えることができます!!!ファイトです!
2週目体験談残して時間がかなり経ち、もう1ヶ月半が過ぎました。今はよく言われるショックロスに入った時期だからか移植された髪の毛が一つ二つ抜けていて心が少しそわそわしますね普段脂漏性頭皮炎があって頭皮が敏感な方ですが最近、移植部位が少し赤くなったりして心配で、クリニック経過を見に行った時にお問い合わせしました。院長が確認したところ、移植後の回復過程中に一時的に現れる現象であり時間が経つにつれて自然に沈むだろうと言われて、一層安心しました。赤いので洗顔やシャンプーの時も少し気をつけていますが移植部位自体は安定しているので、それほど不便ではありません。ショックロスと言って、あまり焦らないようにしてこの時期をうまく過ぎれば、新しい髪が上がってくると信じています。クリニックでケアを受けるたびに頭皮の状態もチェックしていただき必要な部分はすぐにフィードバックをいただき、毎回安心です。一人だったら不安だったのに、こんなに丁寧にケアしてくれてありがたいです。今は外形上の変化は大きくないがこれから本格的に成長する時期を期待しながら頭皮ケアに集中し、次のステップの変化を着実に記録してみようと思います。私のようにショックロス迎えてくださった方々、一緒に頑張って乗り越えてみましょう。
手術前と2週目の写真です^^薄毛が気になり始めてから2、3年くらいになり、ヘアラインもそうですが、頭頂部もすごく気になりました薄毛相談を受けに大田Rizmo Clinic訪問したんですが院長が几帳面に見て、頭頂部はまだ初期薄毛なので見守ろうとおっしゃってヘアラインの植毛だけ受けることにしました。手術当日にも私が満足するまで デザインを本当に繊細に描いてくださって手術中に不便なところがないかずっとチェックしてくださって、不安もなく手術よく受けました回復する間、採取した部位がかゆいこと以外は痛みもなかったしRizmo Clinicで教えていただいた通り、管理をしっかりしていたらもう2週間が過ぎましたね。クリニックで角質除去まで受けてからとてもすっきりします。現在のヘアラインにとても満足していて、残ったのは頭頂部なんだけど···もう少し見守ってから、Rizmo Clinicで脱毛治療も受けてみようと思います!移植した髪がうまくいくことを期待しています^^もし植毛悩み中の方に 私の体験談が少しでも役に立ったらと思います。
こんにちは.やっと手術して1年の最終結果を見てきました。私にとってとてつもなく大きなコンプレックスだった頭がついに解決されました。諦めた状態で生きてきた私に、 毛髪移植という突破口があってその突破口を逃さずにつかんだのが神の一手でした。受けるようになったきっかけ20代から始まったM字 薄毛が、30代には頭頂部、薄毛まで続きました。40代に入って欲が出て、また失っていた頭を得ました。実は頭の欲はいつもあったが薄毛という運命を受け入れてあきらめて生きてきた 若い頃を振り返ってみると、愚かでもあり後悔でもあります。もっと早く手術をしていたらどうだったかと思います。クリニックを調べ始める。前頭部から頭頂部まで剥がれた状態なので、大量移植で最初から調べてみて大量移植体験談のあるいくつかのクリニックの相談を受けてみました。知ってはいましたが、いろいろ歩き回ってもやはり6千本以上の見積もりでした。いよいよ手術を受ける結局、混用法で6300個というとてつもない母数を移植されました。他の方が通常手術する2倍に相当する母数を移植してもらい正直心配もあったんですが、クリニックに対する信頼で移植を受けて 管理を受けてきて、だんだん信頼が確信に変わっていきました。移植しながら坊主頭にしていた髪が移植毛と共に伸び今はスタイルまで可能な完璧なヘアになりました。長さも短く、はげた格好の悪い髪から、今はすっきりとオールバックでめくるスタイルをするんですが、言葉では言い表せないくらい とてもいいです。誰かには当たり前のように与えられるんだろうけど植毛で頭をまたもらってみるととても大切なものだったことに気づきました。結論私はハンナイブ整形外科で手術を受けました。大量移植にここまで気を使ってくれるクリニックがあるかと思います。一ヶ月一ヶ月経過を見に行く度にまるで自分の事のように好んでくれる職員の方々管理とカットまで手伝ってくださる室長、実力のある院長まで私のように大量移植が必要な方は希望を捨てずに相談に行ってみてくださいクリニックもいいし、手術の結果も完璧ですね。
M字でカモメのような形のため、ずっと手術を調べていたところ、大茶母でムン·ヒョソプ院長に手術された方体験談見ましたが、すごく良かったのを見て私も水原に住んでいて、モモクリニック水原店に相談しました。この前ソウルで一度相談を受けたが, 相談だけ受けて手術はできなかったが 今回相談を受けてみたら、デザインも良くて相談も前に受けたクリニックよりもう少し長くて正確にしてくださいました。私が普段から頭皮炎が少しあったのですが、手術してから毛包炎が少し上がってきました幸い、最初からクリニックに通いながら毛包炎の管理を受けて、ひどくはないのですが、病院でも生着には無理がないそうです。前に血や2年飲んでいて面倒で中断したのですが、院長先生が薬の相談もしてくださって、今回手術してからまた薬を飲み始めました。ツーブロックで押して手術したんですが、2週間経ったら剃った髪が長くなって、もうあまり目立たないですね。そして、指の腹でシャンプーを始めると、すごく涼しいです。2週間も髪を洗っても少しつっぱって気になったのに幼い頃、数日間徹夜で 髪を洗った感じがしました管理に気をつけて、私も得をしてm字卒業したいですね
- 手術の種類(植毛or ヘアライン矯正) :植毛 - 病院名(イニシャル禁止):毛プロクリニック - 脱毛タイプ:m字脱毛 - 手術経過期間 : 6ヶ月 - 本(朗)数 : 計画毛数 3700毛/糸毛数 3823毛 - 植毛費用:約600万ウォン台 - 採取方法 : 切開 - 移植方法及び医師/看護師移植可否:植毛機 薄毛+m字薄毛のため、20代前半なのに髪のせいで年を取りすぎて見えるので、悩みが多かったです。 毛プロクリニックは院長が直接顔型に合わせて自然にラインを決めてくださったので、とても気に入りました。 悩んだ末に手術した結果、とても満足して新しい人生を送るようです (笑) 管理はまだ頑張っていますが、薄毛による悩みが著しく減ってとても満足です。 ありがとうございます!!
✔ふさ付きの種類(植毛or ヘアライン矯正):植毛✔ 病院名(イニシャル禁止):狎鴎亭本+ドハム議員✔薄毛タイプ : ヘアライン+もみあげ(ex. エムザ薄毛、頭頂部薄毛、前頭部薄毛、広い額、女性薄毛、ヘアライン矯正、薄毛ではない)✔経過期間:手術当日✔本(嚢)数:4104毛✔植毛費用:1100万ウォン台✔採取方法:非切開微細ハイドカット(ex. 切開毛髪移植、非切開毛髪移植、部分削髪、無削髪)✔移植方法·医師/看護師移植可否:植毛器&医師移植✔経過内容及び写真:手術前と手術直後の写真です。相談の時、デザインをちゃんと考えて行かなかったので院長が描いてくれた通り、 まずはデザインを考えていて手術の日を待ちながら院長体験談の中で希望するデザインがあるよ。問い合わせたところ、手術の日に写真を持ってきて話せば反映してくれるとのことでした。それで手術の日にほぼ相談するように デザインをしてくださってもう直せないと思って、欲しいデザインを すごく細かくお話したんですが最大限反映してデザインしていただき、私が満足するまで繊細に修正してくださいました。そして私が手術前一週間位コンディションがちょっと悪くて薬を飲んでもいいのかよく問い合わせをしたんですが院長が手術当日にまずコンディションが良いか確認してくださってたくさん気を使ってくださってもっと信頼ができて手術前に緊張がたくさん解けました。(頻繁にお問い合わせしましたが、本当に親切で迅速に確認してくださった室長にもどうもありがとうございます)手術前から手術中にも引き続き院長が「緊張することは何もない」、「今うまく進んでいる」、「とてもよく助けてくださっている」など進行状況とともにうまくいっていて大丈夫だと言ってくださり、痛みを感じるかも丁寧にチェックしていただき、心配せずに楽に手術を受けることができました。手術を終えて出たらカボチャ粥とカボチャ茶を 準備してくださるんですが十分に休みながら食べて出たら室長と相談します。植毛、気をつけることを話して、移植部位にラップとビニーをかぶせます。シャンプーの方法や薬を飲む順番などを 詳しく話してくださるんですがしっかり聞いて気をつけて管理しなければなりません。私はぼんやりした感じで家に帰ってきたら思い出せなくてもう一度連絡して聞いてみなければならなかったんです今は手術してから何日か経ちましたが私は手術した日と次の日までは痛みがなかったですが3日目から後頭部に凝りと全体的なかゆみが一番辛かったです。普通、体験談では手術後の最初のシャンプーの時が一番痛いといって家で一人でシャンプーをしたんですが、シャンプー前に処方してくださった鎮痛剤を飲んだら痛みもほとんどありませんでした。寝相が悪い方だから手を縛って寝ているのにこの期間だけ早く終わることを願っています。移植した毛髪がよく育ち、よく育ってほしいです。
いよいよ一ヶ月目です かさぶたは完全になくなって 髪が少しずつ伸びていますね 最初より大きくなったの見えますか (笑) 一ヶ月の差がこの程度だから 6ヶ月目、1年目はどうなのかとても楽しみです まだヘイアチだけど希望が見えて幸せです
23年頃に2500本の毛皮切開で移植されましたところで、クリニックミスのせいか、あまりにも上の方に移植されてラインは整理されましたが、額がとても広く見えますね。なので今回、MONABLEでラインを下げながら もう少し満たす方に移植しました手術方法も再手術によく合うようで、お医者さんや職員の方々も皆親切にしてくださって気に入りました。タルラムと一緒に相談に行ったが、娘も大丈夫そうだと言ってました今日移植を受けてきましたが、形がよくできているようで気に入っています。
ニューヘアー髪1800毛包 雨切り植毛 体験談です。 薄毛症状があったわけではありませんが、先天的に額のラインが上に上がっていて広い額で悩んでいたところ、ニューヘアーを勧められて手術を受けることになりました。 傷跡が残ることに敏感だったので、当然追加費用が発生しても非切開を選択し、相談も無難に受けました。 院長と相談した時、長い時間ではなかったですが、私が悩んでいた部分をすぐキャッチしてくださって良かったです。 手術は完全無削髪で行い、8時間ほどかかったようです。 3日目までは頭皮がかなり腫れていて、4日目からは腫れ自体は85~90パーセント正常に戻りました。まだ感覚が鈍い部分がたくさん残っていますし、髪の毛を採取した部分に痛みはありますが、なんとか耐えられそうです。 手術を受けてから1週間も経っていませんが、きれいに落ち着くといいですね。
24年12月に施術を受けて10ヶ月経った体験談です。 まだ薄毛がはありませんが、額が広いのでヘアライン矯正も兼ねて植毛を受けました。 狎鴎亭モビアンが光州薄毛聖地という文を見て訪れました。 非切開無削髪植毛チェ·ヒョンヨン院長に受け、費用は500後半台です。 植毛機で先生が一針一針直接移植してくれます。 写真は10ヶ月前後の比較写真で、後ろ髪を植えてくせ毛があるのでパーマをした状態です。 院長がエクセレントだとおっしゃるほど完璧になりました。 湖南にお住まいの方々、あえて遠くソウルまで行かずにここですることをお勧めします。 価格も院長の実力もしっかり 何より院長や職員の皆さんが親切で説明も上手です。 クリニック、雰囲気自体がすごく明るくていいです。
{"error":{"errorCode":"429","message":"Quota Exceeded."}}
先延ばしにしていた植毛をついにやることになりました。 最初はあまりにもクリニックも多く、どこに行けばいいのか分からなくて 釜山で有名だというクリニック5ヶ所ほど相談を受けたのですが、最後に訪問したのがマンモスヘアラインクリニックヘアライン医院でした。 本当は相談を受けてから1週間ほど悩んで見ようと思いましたが、マンモスヘアラインクリニックHAIRO 毛髪移植クリニック相談を終えて出る途中に両親と私、両方とも他のクリニックと違うと感じ、とても満足して翌日すぐ手術日程を決めました。 手術当日、患者の控え室にも何かもてなしを受けているようで良かったし、7時間の長い手術でしたが、痛みが思ったより我慢できる水準で耐えられました 短所と言えば7時間の間精神が起きていて少し退屈だということ?? そして手術室や病院内の施設が高級でなんかお金に値する(?)感じがしました 7時間の長い手術を終えて夕方にも痛みもなかったしヘアラインもよく出たようで本当に満足しました 院長と他の看護婦さんたちもとても親切で一生を幸せにする手術なのにこの程度の金額と時間が全然惜しくなかったです
{"error":{"errorCode":"429","message":"Quota Exceeded."}}
{"error":{"errorCode":"429","message":"Quota Exceeded."}}
{"error":{"errorCode":"429","message":"Quota Exceeded."}}
M字 薄毛が始まってから 7年ほどになりました。 「最初は大したことなくやり過ごしたのですが、ある瞬間、前髪を下ろしても額が透けて見え始め、とても気になりました。 そうするうちに育児休職期間を契機に某植毛決心しました。 いろいろなクリニックを調べてみましたが、モディヘア院長が一番印象深かったです。 相談が形式的ではなく、私の頭皮の状態から毛量、デザイン、髪が伸びる方向まで細かく説明していただき、信頼できました。 最初から最後まで直接進めてくださるという点も、決定に大きな影響を与えました。 2週九箇月計4000本を移植し、額のラインを自然につなげながらも密度が感じられるようにデザインしました。 施術を受ける時は思ったより痛みが大きくなく、進行中ずっと院長が几帳面にチェックしてくださって心が楽でした。十二か月今は1年が過ぎた時点ですが、最初に計画したデザインのまま自然に育っていますね。 髪を洗ったり乾かしたりする時も、今は以前のように気にすることがなく、スタイリングする時に額を出しても違和感がありません。 周りからも印象がはるかに幼くなったという話をよく聞きます。 院長がとても丁寧にデザインしてくださったので、結果が自然で密度も満足ですね。 植毛でお悩みの方なら、一度ご相談いただいてもいいと思います。
一日一日頭が空っぽになるのを見ながら心配が多い。毎晩ユーチューブで植毛関連映像を見るのが習慣になりました。周りでも最近、植毛をたくさんしたり毎日しようかと思うより相談でも行ってみようという気持ちでよく見たすべての毛で相談を受けに行きました映像であまりにも頻繁に見たせいか、イソンヨン院長と相談するときとても楽でした説明も一番よくしてくださったし、信頼も行って決めて移植しました昨日移植を受けて今日で1日目です!しっかり管理して、体験談残してみます。
ウムチャン医院で総4000毛M字、ヘアラインまで一度に植毛しました。 M字もありましたし、額自体が広い方でしたので、植毛が必要な状況でした。 ウムチャン医院では、私が必要な部位に合わせて適切な髪の毛量を提示してくださったので、適度に満たすことができました。 手術の過程では麻酔を除けば大した痛みもなく、麻酔さえも心配する必要はない程度の痛みでした。 髪の向きもヘアラインに合わせてきれいに仕上がっているようです。
こんにちは~ DA整形外科で切開、非切開混用で毛髪移植をしてからもう5ヶ月が経ちました!最近太ってしまって、また運動を始めたんですが。 以前は有酸素運動をすると頭がくっ付いて雨に濡れたネズミのように額のラインがもっと広く見えて悲しくてすごく気になったが···植毛した後は自信がたくさんできましたね。♥フフフそして運動する時も白髪で一本に結んでも全然おかしくないし、おでこも全然広くないように見えてとても満足です!! 周りの視線が気になりましたが、今はそうではなく、堂々と運動しながら過ごしています。 とても楽でいいですね>_<bbb♥♥♥切開(3500毛)+非切開(1000毛)計4500毛しました!♥
ショックロスなので少しずつ抜けますが、クリニックで経過相談した時、うまく進んでいるそうです! 信頼できるところで進めて、今後の結果が楽しみです。
毛髪移植してからちょうど10ヶ月になりました!おでこが元々広い方なので いつも髪を結ぶ度に気になっていたんですがヘアライン植毛以降はヘアラインが下がり、おでこもあまり広く見えないし、自然にラインができて 本当に満足しています最初は腫れもあるし、移植部位が少しでこぼこしていて心配だったけどだんだん密度も満たされて、 今は僕の髪のように完全に自然になりました特に横のラインが本当によく取れて 顔型がはるかに柔らかく見える感じです知人たちもラインがとてもきれいになったという話をたくさんしてくれて自信も一気に上がりましたヘアラインがお悩みの方は ヘアライン植毛必ず上手なところに行ってデザインも院長と相談して良い結果を得られるよう願っています!!!僕のように時間が経てば 本当にやりがいを感じると思います~~
34歳の男性です。今年7月にモエム医院で額ライン植毛(非切開ヒドゥンカット)を受け、3ヶ月経過する時点で体験談を使います。[手術同期と3ヵ月経過]薄毛も始まったようで、深いM字のせいで額も敷けない状態でした。3ヶ月経った時点なのに、もう髪をのむのも自然になってきていて、とても満足です![モエムがいい点]i) 非切開ヒドゥンカット:日常生活への復帰が最も有利ii) 細心の院長相談:頭の形、毛髪の状態など総合的に細心に相談を実施iii) アクセスの良い場所: 江南駅出口からすぐにアクセスできるクリニック[手術前]6月からクリニックを探し回りました。 最終的にモエム医院を選択したのは、チョン·ジフン院長の細やかさのためです。他の病院に行くと、室長さんの相談だけ90%で、院長に会う時は毛髪/頭皮の状態確認とデザインだけ少し見て終わりです。モエム医院では室長の相談も良かったし、チョン·ジフン院長が30分以上詳しく相談してくださいました。私は頭の形も髪の形も左右非対称で「牛なめた髪」があり、ヘアラインをつかむのが難しかったです。他のあるところは「まったく浅黒い髪なのでヘアラインをつかむのが難しい」と相談されたところもある反面、チョン·ジフン院長は「自然にできる」と、左右の頭の形の非対称まで考慮しながら、細心にデザインしてくださいました。デザインもモダンによく整えてくださってとても気に入っています![手術]手術時間が比較的短いので、患者さんも医師も負担が少ないようです。院長が手術中にたくさん話しかけてくれます。 患者さんも院長さんも退屈しないように進んで、手術中は早く時間が経ったようです。モエムは部分麻酔だけで手術を行います。 麻酔する時は仕方なく痛かったです。私は後頭部から採取するとき、3毛以上が多くて採取がもう少し早く終わったほうだと聞きました。[手術後]私は退社の翌日に手術を行いました。 手術後にほとんど家にだけいて、管理しやすかったです。手術当日の夕方には麻酔もそろそろ切れるし、血が出ないようにガーゼ/テーピングもされていて不便です。翌日、血痕除去のためにクリニックに訪問してシャンプーをもらうときに、私は痛くないように受けてきました。 痛いという方もいますモエム医院の良いところが、江南駅出口のすぐ前の建物なのでアクセスがとても良いです。 駐車もできます。
最初から院長先生が説明してくれました。 ただ、他のクリニックのようになるかできないか、簡単におっしゃってくださるかと思いましたが、なぜ髪の毛が抜けるのか、なぜ薄くなるのか、説明してくれました。 他の病院では私の髪が白髪が多いだけで、植毛ができないと言っていましたが、キム院長はどこができない、どこができると言ってくれました。 それで分け目ラインはだめで隣にm字を1100本植えることにしたが母数が少なくて最初からドラマチックな結果はないだろう していただいたせいか、私は1ヶ月目のこの程度でも非常に満足しています。 いつも横が空いてて すごくストレスだったんです 髪を結ぶ時も気をつけて。 写真上では大差ないように見えますが、知人が髪の毛が多く見えると言って満足しています。 これからは髪も自信を持って結びます。 手術は全然痛くなかったです。 手術後にヘルメットをかぶったような感じが長引いて心配しましたが、私はその翌日すぐに解けました。 最初から最後まで院長先生がすべて説明してくださって看護師さんたちも皆親切で信じてよくしました。 ショックロスも無事に過ぎ去ってほしいです!!
ジャラダ自毛植毛で手術を無事に終えてきました。 一ヶ月前に予約後一ヶ月を管理しながら待っていたのにすぐ手術当日が来るんですよ。 朝早く9時に到着して院長に最後の手術部位のラインをチェックして10時30分くらいに 手術を始めました。 睡眠麻酔はしませんでしたが、麻酔注射は思ったより我慢できました.. 1時間の毛包採取し、1時間移植する順に3回行い、1回ごとに1000毛包ずつ 植えているようでした。 再手術なのである程度分かってはいたが 10年ぶりにする手術なので緊張もしたが 働く方々がとても楽にしてくださって問題なく手術を終えたようです。 手術完了してから夕方6時頃になったようです。 再手術なのでたくさん悩んでたくさん調べてみましたが、思った通り満足できる手術だったようです。 結果が楽しみで、3ヶ月ごとにレビューを残します。 苦労した先生たち、院長たち、ありがとうございます。
幼い時からM字型でしたが、毛量が多くて実はあまり気にして生きていませんでした 30代半ばを過ぎると風が吹くとM字が気になり始めました YouTubeで植毛体験談を探してみて クリニックを探してみると、家とそれほど遠くない所に体験談が多いクリニックを探すようになりました。 相談先生たちとお医者さんたちが親切に説明してくれたしAGA治療薬に対して拒否感を多かったが院長先生も召し上がっていらっしゃると言いました.~ 手術の時うつぶせになって後頭部を抜く過程が少し大変でしたが、手術をしたら大きな宿題をしたようで身軽です 前後の写真を見ると、やる前はそんなにひどくないと思っていたが、やってよかった 思いますね 1500本よりもっと植えてくれたような気もします あえてソウルまで行かなくても東灘ヘアでお勧めです
毛多兀病院、ヤン·ユグン院長の無削髪、非切開、頭頂部の毛髪意識、2日目の体験談です。手術を受ける前に、クリニックを4~5ヶ所ほど回って見積もりを取ってみましたが、同じ手術部位を置いても、母数と金額に大きな差があるんですよ。そのように通いながら、毛多兀病院に来ることになったんですが、院長と室長が説明も合理的によくしてくださったし、ここでの高密度植毛の実力を聞いて手術を受けることになりました。そして調べてみたら、この業界で有名な大手病院出身の院長さんたちでした。手術を受ける前からメールでどんな薬を飲めばいいのか、どのように準備すればいいのかなどを詳しく教えてくださり、ユーチューブのチャンネルもあって映像を見てあらかじめ準備することができました。手術当日は無駄のない清潔な施設と決められた時間内に手術してくださる院長先生やスタッフの方がいらっしゃって、楽に手術を受けて出られました。翌日シャンプーをしていただく際に、どのようにアフターケアをすればいいのかも具体的に教えていただいて、ケアしています。
今月も注意深く観察してみました。 少しずつ変わっていくような気もします。~ 分かりません. それでも経過がいいと思います。フフ この程度ならどのくらいですか??? 先輩たちがもし見かけたら、 評価をお願いします。 そしてバーバーショップに行って額を出すスタイリングを習ったんですが本当に感動しました。 とてもよくしてくれました。 前髪がくねくねしているので研究が必要です。(笑) スタイリング写真もあればアップしてみます。 くねくねとこの程度ならひどいですか?
季節が過ぎ去るかも知れないほど忙しく日常を送ってこの前移植を受けてから9ヶ月目になったと連絡くださって 経過を見てきました 着いてからすぐ頭を撮影してから写真で 前の姿と今の状態を比べてみた瞬間私の悩みの種だったM字がきれいに消えた姿に向き合うと思わず満面の笑みがこぼれてしまいました~なんて立派に育ったんだろう^^元々、僕のおでこがきれいだったのかと思うくらいデザインも気に入るしやっぱり有名なところに行ったら、ちょうど私が望んでいた結果が 出てきてくれますねまだ1年まで3ヶ月残っていますが、今の姿も とても気に入ってこれ以上抜けずに維持だけでも良いと思いますでも、欲はやっぱりきりがないんだよね ケアすると、もっと伸びる髪が あるかもしれないので一生懸命ケアしながら、もう少し健康なヘアスタイルを作ってみます
キム·ドゥソル院長以下の看護師の皆さん、長時間手術するのに本当にお疲れ様でした。 多くの母数で少し退屈で大変でしたが、やってみたら本当に良かったと思います。 これからしっかり管理しながら経過を見守ります 
こんにちは. 7月26日、非切開で4,000本移植を受け、9月27日に2ヶ月目の点検、クリニック、訪問してきました。 実はしばらく心配が大きかったです。 4~8週目、ショックロスにたくさん抜けるからメンタルが揺れました。 それでも、クリニックを訪問して診療を受けたら、とても安心しました。 頭皮スケーリング+栄養ケアを先に受け、とても几帳面できれいに進めてくださってすっきりしました。 角質や老廃物がすっきり整理された感じで満足度が高かったです。 院長が直接検診後、頭皮の状態を確認すると、「手術がうまくいって正常経過なので心配しないで」とおっしゃいました。 大丈夫だと聞いて少し安心しました。 現在は抜けた席から新しい髪が上がってくるところです。 手で触ってみると、短く上がってきた新生毛のような感じがして、やっと希望が持てますね。 次の点検は11月の予定で、その時は目立った変化があるのではないかと期待しています。 正直、新しい髪が早く伸びたらいいなと思います。 待つことが一番大変ですね 同じような時期の方、あるいはショックロスを経験される方がいらっしゃれば、頑張って一緒に耐えましょう! 経過があれば、また途中で体験談残します。
風が吹く日にもパク·スホ院長に手術を受け、本当に本当に満足してとてもお勧めします!!!! 普段は横に広い額とM字の方が悩みだったが切開で手術して今は14日目なのにとても自然です 私は手術の翌日からすぐ出勤したのですが、少し長く植えてくださったので、職場の人たちは誰も知りませんでした 今でも分かりません むくみもありませんでした 手術直後にこんなに自然なことができるんですか ラインもとてもきれいでぎっしり植えてくれましたTT 切開をしながらすぐに日常生活ができるか心配でしたが、心配になるように後頭部の切開部位が少し引っ張られること以外は全く問題ありません 院長、室長、はじめスタッフの皆さん、親切で実力があって、とにかく短所が一つもありません 超おすすめ^_^
20代前半にM字薄毛の矯正と額の高さを下げるために植毛を決心し、初めて病院を訪れた時、医師と看護師の両方が信頼感を持って説明してくれて、すぐに手術を進めることになりました。 その後、2週目にかさぶたを除去し、他の病院とは違ってお酒とタバコを始めてもいいと案内され、1ヶ月目からは移植毛髪が抜け始め、現在はほとんど毛髪がない状態です。
こんにちは. 手術してすぐに体験談を残そうと思ったのですが、簡単ではありませんでした。 それで、2週目の経過を報告してから体験談を書いてみます。 私は8月27日に植毛をしました。 時間が本当に早くてもう2週間が過ぎましたね。 昨日病院に行って2週目の経過チェックもしてきました。 院長が見て、今からショックロスが始まる時期だと、抜けたらまた上がってくるからあまり不安にならないようにとおっしゃってくれました。 髪の毛が抜ける過程だと思えばいいとおっしゃっていました。 私はM字の部分を少し埋めて、前髪、そして頭頂部の方を中心に移植しました。 計4,000本ほど進行しました。 再相談の際、院長が私の頭の形、ヘアスタイルを見てこうするのが最も自然だと推薦してくださったので、そのまま信じて任せました。 手術室に入る時、すごく緊張したんですが、注射が入る時にチクチクする感じがあって、それ以外は大丈夫でした。 麻酔がちゃんと効いたので、その後は痛みはありませんでした。 採取して移植する過程が続いたが、大体5時間?6時間?正道病院にいたようです。 私が普段、髪を短く切って帽子もよくかぶるスタイルなので、悩んだ末に非切開の剃髪方式で進めました。 院長が直接採取から移植まで全部してくださったんですが、見ながらも几帳面だというのが感じられたんですよ。 手術が終わってから薬を処方してくれながら、お酒やタバコは最低2週間は避けるようにと強調されました。 タバコはもともと吸わなくて大丈夫でしたし、お酒はたまに飲む方なので我慢するのがそれほど難しくはありませんでした。 手術して2~3日くらいは痛みよりは痒みのためちょっと大変でした。 手がしきりに行こうとするのを我慢して耐えるのがそれとなく大変でした。 それでもその時期が過ぎてからは大きな不便はありません。 まだ手術したばかりなので、目立った変化はわかりません。 それでも院長先生のおっしゃる通り、丁寧に管理して待っていれば豊かになると信じています。 私のように悩んでいる方々に少しでも参考になればと思います。 写真は昨日撮ったものです。 これから状態チェックも兼ねて、たまに写真を撮って体験談をアップします。
<電><フ>こんにちは.脂漏性頭皮炎や額、頭頂部の薄毛で長い間悩んでいた35歳の男性です。幼い時は髪の毛が多かったが軍隊行って来てからだんだん抜けてからは額と頭頂部が薄くなってストレスが大きかったです。それに頭皮炎まであって、植毛は全く夢にも思わなかったんです。頭頂部のかつらをかぶっていましたが、夏は暑くてどうしても少し目立つので、人に会うたびに気になって女性に会うと、後で薄毛症だという事実を話すと別れてしまい、だんだん恋愛も諦めるようになるんです。薬も飲んでみましたが、効果がなくて結局「最後だ」と思って植毛を調べてみました。狎鴎亭駅にあるジェンマ植毛センターに相談に行ったら、頭皮炎があっても状態によって移植が可能だと言われました。私の場合も可能だということで、すぐに手術を決心しました。手術当日はとても緊張しましたが、院長と看護師の方々がよく面倒を見てくださって、思ったより痛くもなく手術が上手でした。最初はかさぶたもできて、ちょっと引っ張られたんですが、時間が経つにつれてだんだん自然になりました。途中で植えた髪の毛が抜けてびっくりしたんですが、これが院長先生が言ってくれたティッシュなんだ~と待ってみたらしばらくすると本当に髪の毛が生え始めてとても不思議でした。今は髪の毛も多くなって自信感も上がってきてどうしてもっと早くしなかったのか後悔ではない後悔もして、かつらを脱いで人に会うのが楽しくて、そうしているうちに自然に恋愛もするようになり、今はもうすぐ結婚までするようになりましたね。私のように頭皮炎や薄毛症で悩んでいる方、悩まずに相談でも受けてみてください。今までとりとめのない薄毛からの脱出体験談を見てくださってありがとうございます。
手術後1ヶ月経過し、簡略後記を追加する。 抜糸して2週間後に角質ケアを受けに病院を訪問する。 「20万ウォンのサービスだというが、ただ薬品を撒いて髪を洗って赤外線10分を浴びる」(自分のお金なら絶対に認められる…) 写真を何枚か撮ってAGA治療薬を処方してもらって帰った.. 次の訪問は9か月後に来るように。 1ヵ月ほど経つと、ショックロスが始まるようだ。 指の腹でシャンプー後、既存の毛、移植毛を問わずたくさん抜ける。 シャンプー時の切開/移植部位にまだ痛みがある。